- Redă sănătatea gingiilor tale
Parodontologie în Sector 4 – tratamente moderne pentru gingii sănătoase
La Clinica Stomatologică Dinfinity, tratamentele de parodontologie sunt realizate de medici specializați, cu tehnologie modernă și abordare delicată. Fie că te confrunți cu sângerări gingivale, retracții sau mobilitate dentară, intervenim la timp pentru a opri boala parodontală și pentru a-ți salva dinții naturali.
Programează-te la o consultație și descoperă cum poți avea din nou gingii sănătoase și un zâmbet stabil, fără durere.
Tratamente personalizate pentru fiecare etapă a bolii parodontale
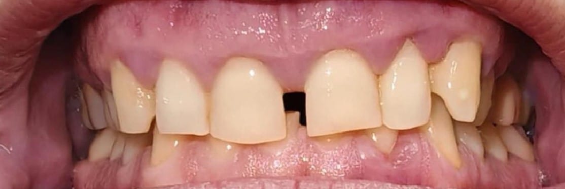
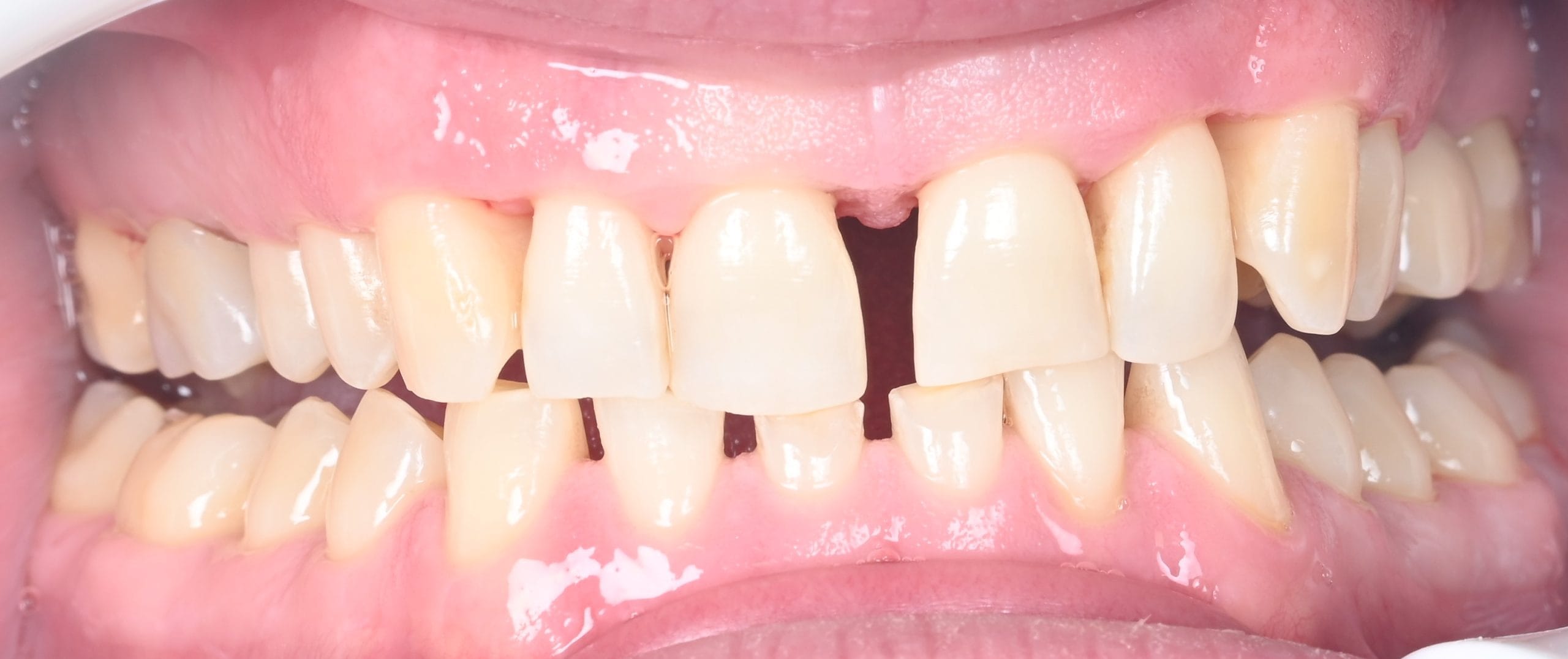
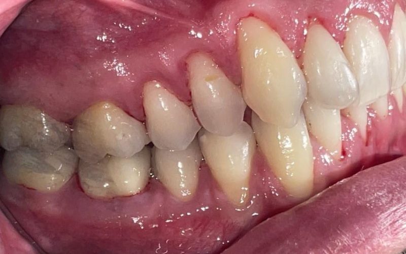
Boala parodontală, numită popular și parodontoză, este o boala cronică ce distruge treptat țesuturile care susțin dinții, ajungând în stadii avansate pana la pierderea întregii dentiții. Ea este în corelație cu starea generală de sănătate și poate influența alte boli asociate ale pacientului. La Dinfinity, tratăm cauza, nu doar simptomele. Prin experiența vasta pe care o au medicii noștri specialiști parodontologi, abordam modern tratamentul bolii parodontale, după cele mai noi recomandări în acest domeniu.
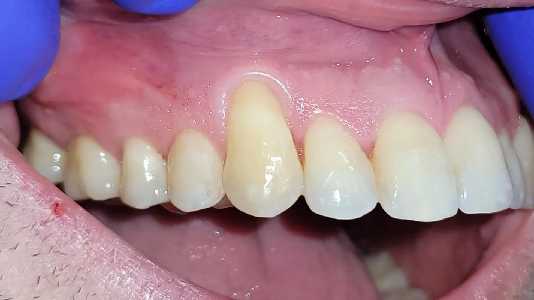
Grefe gingivale
Parodontologia abordează și tratamentul retracțiilor gingivale pentru dispariția hipersensibilității, restabilirea sănătății gingiilor, îmbunătățirea aspectului și confortul pacientului la periajul realizat acasă.
Augmentare gingivală în jurul implanturilor
Odată ce s-a pierdut un dinte, nu doar osul are de suferit, ci și gingia se retrage și își pierde calitatea în timp. Cu ajutorul grefelor gingivale formam un sigiliu în jurul coroanelor pe implanturi, oferind condiții optime pentru îngrijirea de către pacient și prevenind periimplantită.
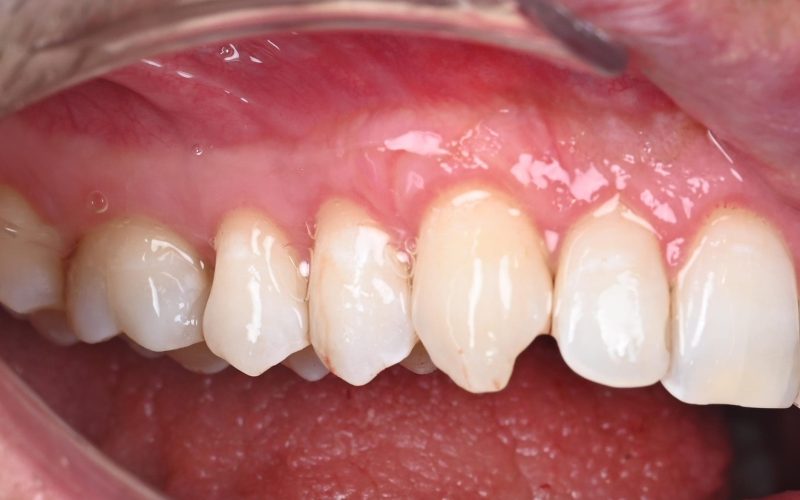
Periimplantită
Nu doar dinții au boală parodontală, ci și implanturile pot avea țesuturile de susținere afectate, ceea ce se numește periimplantita. La Dinfinity, tratăm periimplantita și oferim pacientului soluții personalizate pentru menținerea pe termen lung a implanturilor, în stare de sanitate.
Cazuri reale. Povești reale. Zâmbete recâștigate.
Fiecare pacient care ne trece pragul are o poveste. În această secțiune, descoperi experiențele celor care au ales tratamentele de paradontologie la Clinica Dinfinity din Sector 4. Vezi rezultatele obținute, citește părerile lor sincere și lasă-te inspirat de zâmbetele care au prins din nou curaj.




Trustindex verifică că sursa originală a recenziei este Google. Recomand dr Alexandru Davidoiu! A avut răbdare să îi explice fiului meu (18ani) tot ce urma să se întâmple (extragerea a trei molari de minte inclusi)i-a răspuns la toate întrebările. S-a stabilit o legătură foarte ok intre pacient si doctor,venind cu încredere de fiecare dată.Mulțumim întregii echipe pentru profesionalismul de care a dat dovadă!Publicat pe ADMIN BARCUTETrustindex verifică că sursa originală a recenziei este Google. Am avut o experiență foarte bună cu doamna Doctor Oana Mihăeș. Toate procedurile au decurs fără probleme și rezultatul este excelent. Sunt foarte mulțumit și recomand cu încredere!Publicat pe Vasile CristianTrustindex verifică că sursa originală a recenziei este Google. In cabinetul doamnei doctor Mihăeș am fost tratata cu aparatura de ultima generatie dar si cu multa finete si empatiePublicat pe Andreea MarinTrustindex verifică că sursa originală a recenziei este Google. Sunt pacienta clinicii de 1 an. De fiecare data foarte multumita. Inclusiv partea de receptie, mereu atente sa anunte daca e un alt loc liber mai devreme 🥰 Le recomand in mod special pe doamna doctor Elena Simion si pe doamna doctor Alexandra Popa❤️Publicat pe Georgiana MalinaTrustindex verifică că sursa originală a recenziei este Google. Am fost extrem de mulțumită de serviciile oferite. Doamna doctor Ene este foarte atentă la detalii și explică totul cu răbdare. Recomand cu toată încrederea.Publicat pe Andreea NeculaTrustindex verifică că sursa originală a recenziei este Google. Foarte multumita. Sunt pacienta lor de 1 an si mereu am plecat multumita. Recomand in mod special pe doamnele doctor Alexandra si Elena ❤️Publicat pe Malina FiloteTrustindex verifică că sursa originală a recenziei este Google. Astazi am mers pentru prima data la medicul stomatolog!!! Vreau sa spun ca in cadrul acestei clinici am avut parte de o experiență deosebita, dna doctor Simion Elena m-a tratat cu calm, blândețe și profesionalism! Voi continua tratamentul cu dumneai in cadrul acestei clinici cu toată încrederea! Va recomand cu drag! Profesionalismul, curatenia si atmosfera sunt la alt nivel! 🙏🏻Publicat pe Marina Ciupitu
Echipa
Faceți cunoștință cu medicii noștri
Suntem o clinică dentară din Sector 4 în care fiecare pacient este tratat cu empatie, răbdare și profesionalism. Fie că vii la o simplă consultație sau pentru un plan de tratament complet, medicii noștri îți vor fi alături în fiecare etapă.

Dr. Oana Mihăeș
Medic specialist parodontologie, coordonator și fondator al clinicii Dinfinity

Dr. Alexandru Davidoiu
Medic specialist chirurgie dento-alveolară și rezident chirurgie stomatologică și
maxilo-facială

Dr. Iulia Cucuteanu
Medic specialist ortodonție și ortopedie dento-facială

Dr. Liviu Ene
Medic specialist protetică și parodontologie

Dr. Ene Ana
Medic specialist pedodonție

Dr. Alexandra Popa
Medic specialist parodontologie și estetică dentară

Dr. Elena Simion
Medic specialist endodonție

Ana Vale
Asistent medical generalist

Dr. Alexandra Stroescu
Medic specialist protetică dentară

Andreea Roșu
Asistent medical generalist

Maria Drăghici
Asistent medic generalist

Echipa medicală Dinfinity – medici stomatologi în Sector 4
La Clinica Stomatologică Dinfinity din Sector 4, punem accent pe calitate, empatie și profesionalism. Echipa noastră este formată din medici stomatologi specializați, fiecare având expertiză într-un domeniu-cheie al stomatologiei moderne: estetică dentară, implantologie, ortodonție, pedodonție, chirurgie orală sau endodonție.
Fiecare membru al echipei contribuie cu experiență practică, empatie și dorința constantă de perfecționare. Astfel, pacienții noștri beneficiază de tratamente stomatologice avansate și personalizate, într-un mediu sigur și relaxant. Indiferent dacă vii pentru o igienizare, un aparat dentar sau un implant, aici găsești profesioniști dedicați zâmbetului tău.
Suntem o clinică dentară de top în Sector 4 București, apreciată pentru echipa sa multidisciplinară și abordarea completă a sănătății orale.
La Dinfinity, credem că un zâmbet frumos începe cu o echipă în care poți avea încredere.
Pașii în tratamentul Parodontitei marginale
La Clinica Dinfinity, fiecare etapă a tratamentului parodontal este gândită pentru confortul și siguranța ta. De la diagnosticul digital până la monitorizarea post-terapie, totul se realizează sub același acoperiș, de către o echipă dedicată sănătății gingiilor tale – fără drumuri inutile, fără incertitudini.
-
Consultația și evaluarea parodontală
Igienizarea profesională ce include detartrajul, periajul și curățarea cu ajutorul airflow-ului, totodată cuprinzând instruirea și monitorizarea pacientului privind tehnicile potrivite de periaj.
-
Curățarea profesională și terapia inițială
Instrumentarea subgingivală nechirurgicală realizată minuțios, minim invaziv în zonele cu probleme. Aici folosim și laserul diodă, pentru o sterilizarea a pungilor parodontale și accelerarea mecanismelor de vindecare. Acest pas poate fi suficient pentru majoritatea cazurilor de parodontită.
-
Tratamentul regenerativ (dacă este necesar)
Etapa chirurgicală în vederea regenerării țesuturilor pierdute sau a remodelării lor. Aici utilizăm biomateriale de înaltă calitate și tehnici chirurgicale precise.
-
Monitorizare și întreținere periodică
Monitorizarea pacientului la perioade de timp stabilite individualizat, pentru prevenirea recidivelor și menținerea sănătății țesuturilor parodontale.
Întrebări frecvente despre tratamentele parodontale
Știm că afecțiunile gingivale pot ridica multe întrebări. Mai jos găsești răspunsurile oferite de echipa Dinfinity pacienților care au apelat la servicii de parodontologie în Sector 4.
Cum știu dacă am boală parodontală?
Semnele includ sângerare la periaj, retracția gingiilor, respirație neplăcută și mobilitatea dinților. O evaluare parodontală completă la Dinfinity poate confirma diagnosticul.
Tratamentele parodontale dor?
Nu. Se realizează sub anestezie locală și sunt complet nedureroase. Terapia laser elimină disconfortul și accelerează vindecarea.
Se poate vindeca boala parodontală complet?
Boala parodontală este cronică, dar poate fi stopată și controlată eficient prin tratamente regulate și igienă corectă.
Ce se întâmplă dacă nu tratez boala parodontală?
Inflamația se extinde, afectând osul și ducând la pierderea dinților. Intervenția timpurie salvează dinții naturali.
Cât costă tratamentul parodontal în Sector 4?
Costul variază în funcție de stadiul bolii și procedurile necesare. După evaluare, îți oferim un plan de tratament complet și transparent, cu opțiuni de plată flexibilă.
Cât durează tratamentul?
Depinde de severitate – unele cazuri se rezolvă în 1-2 ședințe, altele necesită mai multe etape, pentru rezultate stabile și durabile.
Hai să vorbim despre zâmbetul tău
Fie că ai o întrebare, vrei o consultație sau ai nevoie de un plan de tratament personalizat, suntem aici pentru tine. Scrie-ne, sună-ne sau vino direct în clinică. La Dinfinity, comunicarea e la fel de importantă ca tratamentul.
- Răspuns rapid în aceeași zi
- Consultații personalizate, fără grabă
- Locație ușor accesibilă în Sector 4
- Echipă prietenoasă și empatică