- Zâmbetul tău perfect începe aici
Ortodonție în Sector 4 – aparate dentare moderne,confortabile și estetice
La Clinica Stomatologică Dinfinity, corectăm alinierea dinților cu aparate dentare moderne, adaptate fiecărui pacient. Indiferent de vârstă, poți obține un zâmbet drept, funcțional și estetic, fără disconfort și fără compromisuri.
Descoperă soluțiile de ortodonție în Sector 4 care combină precizia digitală, estetica și confortul – totul într-un mediu prietenos și sigur.

Aparate dentare moderne pentru un zâmbet sănătos și echilibrat
Ortodonția nu este doar estetică – este un pas important pentru sănătatea dinților și a articulațiilor maxilare. La Dinfinity, fiecare tratament ortodontic este personalizat, realizat cu aparate dentare de ultimă generație, pentru rezultate stabile și armonioase.
Soluții pentru toate vârstele
Copii, adolescenți sau adulți – tratamentele noastre ortodontice sunt adaptate fiecărei vârste și fiecărui stil de viață. Scopul este același: un zâmbet perfect și o mușcătură echilibrată.
Estetică și confort în timpul tratamentului
Poți alege atât variante clasice metalice, autoligaturante, cât și variante mai estetice cum sunt cele din ceramică/safir. Variantele moderne și cele mai confortabile sunt cele invizibile, de aceea vă punem la dispoziție variante de alignere (gutiere aliniatoare) pentru a corecta imperfecțiunile unei mușcături într-un mod cât mai discret.
Monitorizare digitală și rezultate previzibile
Folosim scanări digitale și planificare 3D pentru a anticipa evoluția zâmbetului tău. Poți vedea rezultatul final chiar înainte de a începe tratamentul.
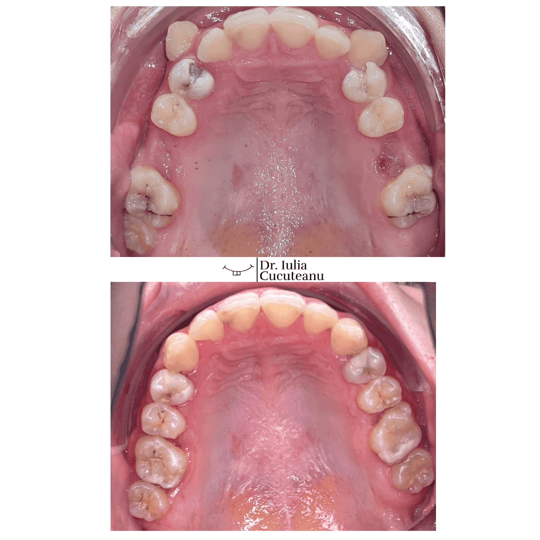
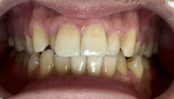
Cazuri reale. Povești reale. Zâmbete recâștigate
Fiecare pacient care ne trece pragul are o poveste. În această secțiune, descoperi experiențele celor care au ales tratamentele de ortodonție la Clinica Dinfinity din Sector 4. Vezi rezultatele obținute, citește părerile lor sincere și lasă-te inspirat de zâmbetele care au prins din nou curaj.


Trustindex verifică că sursa originală a recenziei este Google. Recomand dr Alexandru Davidoiu! A avut răbdare să îi explice fiului meu (18ani) tot ce urma să se întâmple (extragerea a trei molari de minte inclusi)i-a răspuns la toate întrebările. S-a stabilit o legătură foarte ok intre pacient si doctor,venind cu încredere de fiecare dată.Mulțumim întregii echipe pentru profesionalismul de care a dat dovadă!Publicat pe ADMIN BARCUTETrustindex verifică că sursa originală a recenziei este Google. Am avut o experiență foarte bună cu doamna Doctor Oana Mihăeș. Toate procedurile au decurs fără probleme și rezultatul este excelent. Sunt foarte mulțumit și recomand cu încredere!Publicat pe Vasile CristianTrustindex verifică că sursa originală a recenziei este Google. In cabinetul doamnei doctor Mihăeș am fost tratata cu aparatura de ultima generatie dar si cu multa finete si empatiePublicat pe Andreea MarinTrustindex verifică că sursa originală a recenziei este Google. Sunt pacienta clinicii de 1 an. De fiecare data foarte multumita. Inclusiv partea de receptie, mereu atente sa anunte daca e un alt loc liber mai devreme 🥰 Le recomand in mod special pe doamna doctor Elena Simion si pe doamna doctor Alexandra Popa❤️Publicat pe Georgiana MalinaTrustindex verifică că sursa originală a recenziei este Google. Am fost extrem de mulțumită de serviciile oferite. Doamna doctor Ene este foarte atentă la detalii și explică totul cu răbdare. Recomand cu toată încrederea.Publicat pe Andreea NeculaTrustindex verifică că sursa originală a recenziei este Google. Foarte multumita. Sunt pacienta lor de 1 an si mereu am plecat multumita. Recomand in mod special pe doamnele doctor Alexandra si Elena ❤️Publicat pe Malina FiloteTrustindex verifică că sursa originală a recenziei este Google. Astazi am mers pentru prima data la medicul stomatolog!!! Vreau sa spun ca in cadrul acestei clinici am avut parte de o experiență deosebita, dna doctor Simion Elena m-a tratat cu calm, blândețe și profesionalism! Voi continua tratamentul cu dumneai in cadrul acestei clinici cu toată încrederea! Va recomand cu drag! Profesionalismul, curatenia si atmosfera sunt la alt nivel! 🙏🏻Publicat pe Marina Ciupitu
Tehnologie digitală pentru tratamente ortodontice precise
Scanare intraorală 3D cu Medit i700
Renunțăm la amprentarea clasică cu pastă! Cu scannerul intraoral digital obținem modele exacte și confortabile ale danturii tale – rapid și fără disconfort.
Planificare digitală a tratamentului
Folosim softuri avansate pentru simularea mișcărilor dentare și pentru proiectarea aparatelor personalizate. Astfel, tratamentul devine predictibil și eficient.
Aparat dentar invizibil (alignere)
Cu alignere transparente, dinții se îndreaptă treptat, fără sârme sau bracketuri. Poți mânca, zâmbi și vorbi natural, fără să simți că porți aparat dentar.
Control periodic digitalizat
Folosim fotografii și scanări rapide pentru a urmări progresul tratamentului și a face ajustări minime, fără disconfort.

Beneficiile tehnologiei moderne în ortodonție:
- Planificare digitală 3D
- Aparat dentar invizibil și confortabil
- Controale rapide, fără disconfort
- Rezultate previzibile și stabile
Echipa
Faceți cunoștință cu medicii noștri
Suntem o clinică dentară din Sector 4 în care fiecare pacient este tratat cu empatie, răbdare și profesionalism. Fie că vii la o simplă consultație sau pentru un plan de tratament complet, medicii noștri îți vor fi alături în fiecare etapă.

Dr. Oana Mihăeș
Medic specialist parodontologie, coordonator și fondator al clinicii Dinfinity

Dr. Alexandru Davidoiu
Medic specialist chirurgie dento-alveolară și rezident chirurgie stomatologică și
maxilo-facială

Dr. Iulia Cucuteanu
Medic specialist ortodonție și ortopedie dento-facială

Dr. Liviu Ene
Medic specialist protetică și parodontologie

Dr. Ene Ana
Medic specialist pedodonție

Dr. Alexandra Popa
Medic specialist parodontologie și estetică dentară

Dr. Elena Simion
Medic specialist endodonție

Ana Vale
Asistent medical generalist

Dr. Alexandra Stroescu
Medic specialist protetică dentară

Andreea Roșu
Asistent medical generalist

Maria Drăghici
Asistent medic generalist

Echipa medicală Dinfinity – medici stomatologi în Sector 4
La Clinica Stomatologică Dinfinity din Sector 4, punem accent pe calitate, empatie și profesionalism. Echipa noastră este formată din medici stomatologi specializați, fiecare având expertiză într-un domeniu-cheie al stomatologiei moderne: estetică dentară, implantologie, ortodonție, pedodonție, chirurgie orală sau endodonție.
Fiecare membru al echipei contribuie cu experiență practică, empatie și dorința constantă de perfecționare. Astfel, pacienții noștri beneficiază de tratamente stomatologice avansate și personalizate, într-un mediu sigur și relaxant. Indiferent dacă vii pentru o igienizare, un aparat dentar sau un implant, aici găsești profesioniști dedicați zâmbetului tău.
Suntem o clinică dentară de top în Sector 4 București, apreciată pentru echipa sa multidisciplinară și abordarea completă a sănătății orale.
La Dinfinity, credem că un zâmbet frumos începe cu o echipă în care poți avea încredere.
Cum decurge tratamentul ortodontic la Dinfinity
La Clinica Dinfinity din Sector 4, tratamentele ortodontice se desfășoară într-un mod clar și eficient, cu obiectivul de a oferi un zâmbet sănătos și aliniat, fără disconfort inutil.
-
Consultația ortodontică
Analizăm structura danturii, mușcătura și poziția dinților. Discutăm despre opțiunile potrivite de aparate (metalice, ceramice, invizibile) și despre durata estimată a tratamentului.
-
Scanare digitală și plan de tratament personalizat
Realizăm o scanare 3D și fotografii intraorale pentru a crea un plan detaliat, adaptat nevoilor tale.
-
Montarea aparatului dentar
Aparatul este montat într-o singură ședință, sub îndrumarea medicului ortodont. Procedura este rapidă și complet nedureroasă.
-
Controale periodice și ajustări
La fiecare 4–6 săptămâni, verificăm progresul și facem mici ajustări pentru a ghida mișcările dentare.
-
Finalizarea tratamentului și contentie
După îndreptarea dinților, aplicăm o contentie (fixă sau mobilă) pentru a menține rezultatele perfecte pe termen lung.
Întrebări frecvente despre tratamentele ortodontice
Aparatul dentar este o investiție în sănătate și estetică. Mai jos găsești cele mai frecvente întrebări ale pacienților noștri.
La ce vârstă se poate pune aparat dentar?
Tratamentele ortodontice se pot face la orice vârstă. Ideal, încep în jurul vârstei de 11–13 ani, dar și adulții pot obține rezultate excelente.
Aparatul dentar doare?
Nu, doar un disconfort ușor în primele zile. Cu tehnologia modernă, forțele sunt controlate și blânde.
Cât durează tratamentul ortodontic?
Depinde de caz – între 6 luni și 2 ani, în funcție de severitatea malpoziției.
Ce tip de aparat dentar e cel mai bun?
Depinde de obiectivul estetic și buget. Aparatele ceramice și alignerele sunt cele mai discrete, iar cele metalice – cele mai accesibile.
Pot purta aparat dentar dacă am lucrări sau implanturi?
Da, tratamentul ortodontic se adaptează situației. Medicul stabilește o strategie personalizată pentru fiecare caz.
Ce se întâmplă după ce termin tratamentul?
Se aplică o contentie (un fir subțire sau gutieră transparentă) care menține rezultatul stabil pe termen lung.
Cât costă un tratament ortodontic în Sector 4?
Prețul variază în funcție de tipul aparatului și durata tratamentului. După consultație, vei primi un plan clar și transparent, cu posibilitate de plată în rate.
Hai să vorbim despre zâmbetul tău
Fie că ai o întrebare, vrei o consultație sau ai nevoie de un plan de tratament personalizat, suntem aici pentru tine. Scrie-ne, sună-ne sau vino direct în clinică. La Dinfinity, comunicarea e la fel de importantă ca tratamentul.
- Răspuns rapid în aceeași zi
- Consultații personalizate, fără grabă
- Locație ușor accesibilă în Sector 4
- Echipă prietenoasă și empatică, care te ascultă