Deși putem spune că suntem o clinică tânără, am reușit să rezolvăm cazuri complexe, folosind o abordare multidisciplinară.
Sănătatea voastră este bucuria noastră!
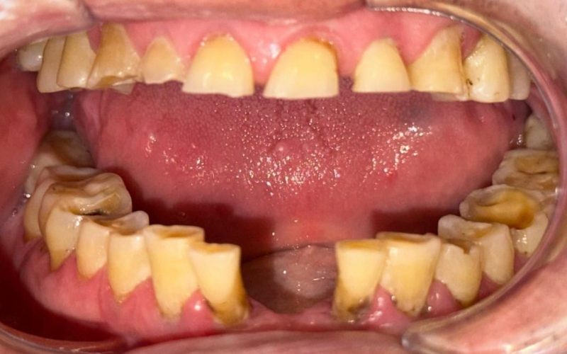
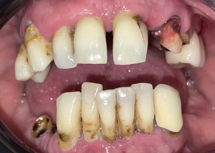
Reabilitare Bimaxilara all on X
Pacientă diagnosticată cu boală parodontală în stadiul IV, grad C. Am realizat reabilitarea completă a funcțiilor masticatorii, estetice și fonetice, precum și reintegrarea socială prin inserarea implanturilor dentare și aplicarea lucrărilor provizorii imediate. După o perioadă de 6 luni, pacienta a beneficiat de lucrările protetice finale.


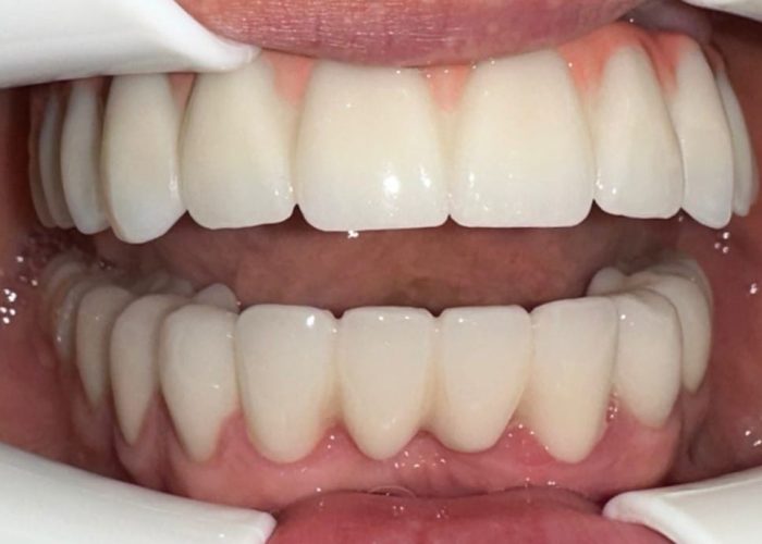
Estetică dentară
Pacientă nemulțumită de aspectul estetic al danturii și de dificultatea masticatorie. În cadrul Clinicii Dinfinity, am realizat o reabilitare totală prin aplicarea de coroane zirconia multilayer atât pe dinții naturali, cât și pe implanturi, obținând un echilibru perfect între funcționalitate, estetică și durabilitate. Rezultatul: un zâmbet natural, stabil și armonios, adaptat integral trăsăturilor pacientei.
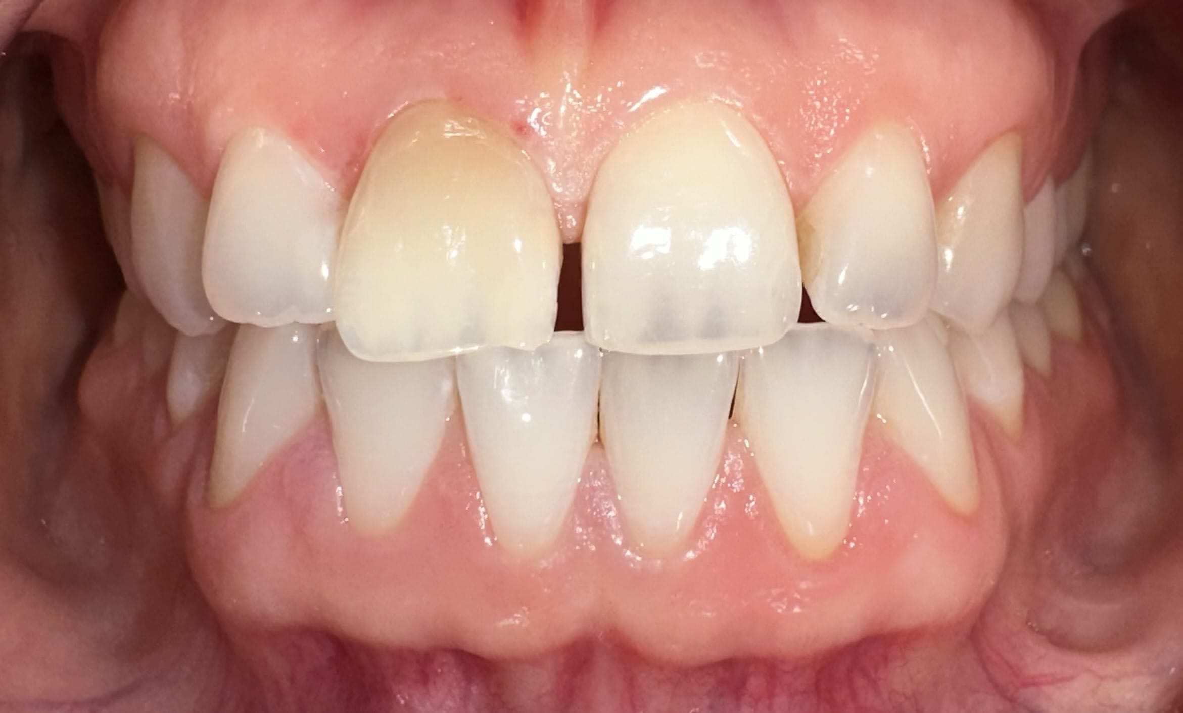
Estetică Dentară - Fațete feldspatice
Pacienta s-a prezentat pentru reabilitarea funcției estetice, motivele fiind spațiul dintre dinți și culoarea neplăcută, în special a incisivului central. S-au aplicat 3 fațete si o coroană din ceramica feldspatică, acestă variantă fiind una dintre cele mai estetice și mai naturale, exact ceea ce pacienta își dorea. În cazul fațetelor feldspatice, preparația dintelui este minimă și cu toate acestea naturalețea rezultatului final este evidentă.


Pacientul de mai jos nu putea mesteca, avea probleme de estetică dentară și bruxism (scrâșnirea dinților), dar cu ajutorul chirurgiei parodontale, coroanelor și fațetelor dentare, pacientul și-a recăpătat funcția masticatorie.

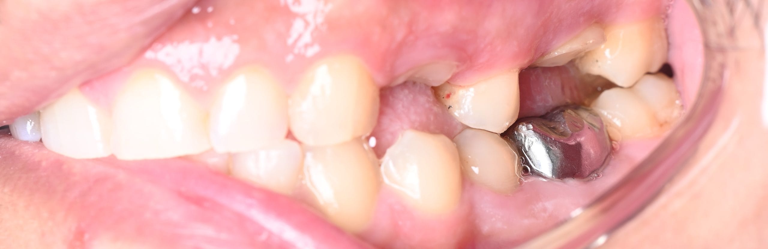
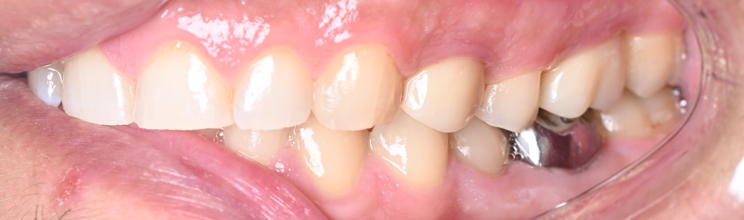
Reabilitare dentară complexă
Pacientul s-a prezentat la Clinica Dinfinity acuzând dureri și având lucrări vechi, instabile și defectuoase. Echipa noastră a efectuat un plan de tratament complex, cu abordare multidisciplinară, vizând atât dinții naturali, cât și implanturile existente. Prin reconstrucția completă a arcadei dentare, s-au restabilit funcțiile masticatorii, confortul și estetica zâmbetului, asigurând o reabilitare durabilă, estetică și completă.


Implant dentar
În cadrul Clinicii Dinfinity, s-au realizat implanturi postextracționale Straumann BLX în aceeași ședință cu extracțiile dinților irecuperabili. Această tehnică avansată permite conservarea profilului gingival, reducând semnificativ timpul total de tratament și oferind un rezultat estetic superior. Datorită preciziei sistemului Straumann BLX, s-au obținut coroane cu un aspect natural și integrare perfectă în armonia zâmbetului.
Tratament parodontal și protetic
Pacient cunoscut cu bruxism și boală parodontală. În cadrul Clinicii Dinfinity, s-a implementat un plan de tratament personalizat, care a inclus terapie parodontală pentru stabilizarea țesuturilor de susținere și reabilitare protetică pentru refacerea funcției și a esteticii dentare. Prin această abordare combinată, s-a obținut o dantură echilibrată, stabilă și rezistentă la forțele exercitate de bruxism.

Tratamentul ortodontic este indicat în cazul în care dinții sunt înghesuiți și există probleme de mușcătură. Mai jos puteți observa rezultatele frumoase obținute de către doamna dr. Iulia Cucuteanu împreună cu pacienții dânsei.
Beneficii tratament ortodontic:
- igienizarea se face corect
- se reduce riscul de pierdere a dinților
- se corectează mușcătura și se rezolvă problemele de ordin estetic


Cazuri de stomatologie pediatrică rezolvate



Echipa
Faceți cunoștință cu medicii noștri
Suntem o clinică dentară din Sector 4 în care fiecare pacient este tratat cu empatie, răbdare și profesionalism. Fie că vii la o simplă consultație sau pentru un plan de tratament complet, medicii noștri îți vor fi alături în fiecare etapă.

Dr. Oana Mihăeș
Medic specialist parodontologie, coordonator și fondator al clinicii Dinfinity

Dr. Alexandru Davidoiu
Medic specialist chirurgie dento-alveolară și rezident chirurgie stomatologică și
maxilo-facială

Dr. Iulia Cucuteanu
Medic specialist ortodonție și ortopedie dento-facială

Dr. Liviu Ene
Medic specialist protetică și parodontologie

Dr. Ene Ana
Medic specialist pedodonție

Dr. Alexandra Popa
Medic specialist parodontologie și estetică dentară

Dr. Elena Simion
Medic specialist endodonție

Ana Vale
Asistent medical generalist

Dr. Alexandra Stroescu
Medic specialist protetică dentară

Andreea Roșu
Asistent medical generalist

Maria Drăghici
Asistent medic generalist

Echipa medicală Dinfinity – medici stomatologi în Sector 4
La Clinica Stomatologică Dinfinity din Sector 4, punem accent pe calitate, empatie și profesionalism. Echipa noastră este formată din medici stomatologi specializați, fiecare având expertiză într-un domeniu-cheie al stomatologiei moderne: estetică dentară, implantologie, ortodonție, pedodonție, chirurgie orală sau endodonție.
Fiecare membru al echipei contribuie cu experiență practică, empatie și dorința constantă de perfecționare. Astfel, pacienții noștri beneficiază de tratamente stomatologice avansate și personalizate, într-un mediu sigur și relaxant. Indiferent dacă vii pentru o igienizare, un aparat dentar sau un implant, aici găsești profesioniști dedicați zâmbetului tău.
Suntem o clinică dentară de top în Sector 4 București, apreciată pentru echipa sa multidisciplinară și abordarea completă a sănătății orale.
La Dinfinity, credem că un zâmbet frumos începe cu o echipă în care poți avea încredere.