- Salvează-ți dintele natural, fără durere
Endodonție în Sector 4 – tratamente moderne decanal sub microscop
La Clinica Stomatologică Dinfinity, oferim tratamente endodontice precise și complet nedureroase, menite să salveze dinții naturali afectați de infecții sau carii profunde.
Folosind microscop endodontic, tehnologie digitală și instrumente rotative moderne, asigurăm curățarea perfectă a canalelor radiculare și o vindecare rapidă, fără disconfort.
Programează-te la o consultație și află cum poți evita extracția printr-un tratament de canal sigur și predictibil.

Tratament de canal realizat corect – soluția care salvează dintele
Endodonția modernă nu mai înseamnă durere sau vizite repetate. La Dinfinity, tratamentele de canal se realizează sub control microscopic, cu instrumentar rotativ de ultimă generație și irigație activă ultrasonică.
Rezultatul: precizie maximă, etanșeitate perfectă și confort total pentru pacient.
Fără durere, fără teamă
Tratamentul se realizează sub anestezie locală modernă, complet nedureroasă. Majoritatea pacienților afirmă că procedura a fost chiar mai ușoară decât o plombă obișnuită.
Microscop endodontic pentru precizie totală
Fiecare canal este tratat sub mărire de până la 25x, pentru curățare completă și rezultate durabile. Utilizarea microscopului reduce semnificativ riscul apariției infecțiilor recurente
Tratamente finalizate într-o singură ședință
Datorită sistemelor moderne și irigației active, multe tratamente se pot finaliza într-o singură vizită, fără durere și fără stres.
Cazuri reale. Povești reale. Zâmbete recâștigate
Fiecare pacient care ne trece pragul are o poveste. În această secțiune, descoperi experiențele celor care au ales tratamentele de edodonție la Clinica Dinfinity din Sector 4. Vezi rezultatele obținute, citește părerile lor sincere și lasă-te inspirat de zâmbetele care au prins din nou curaj.



Trustindex verifică că sursa originală a recenziei este Google. Recomand dr Alexandru Davidoiu! A avut răbdare să îi explice fiului meu (18ani) tot ce urma să se întâmple (extragerea a trei molari de minte inclusi)i-a răspuns la toate întrebările. S-a stabilit o legătură foarte ok intre pacient si doctor,venind cu încredere de fiecare dată.Mulțumim întregii echipe pentru profesionalismul de care a dat dovadă!Publicat pe ADMIN BARCUTETrustindex verifică că sursa originală a recenziei este Google. Am avut o experiență foarte bună cu doamna Doctor Oana Mihăeș. Toate procedurile au decurs fără probleme și rezultatul este excelent. Sunt foarte mulțumit și recomand cu încredere!Publicat pe Vasile CristianTrustindex verifică că sursa originală a recenziei este Google. In cabinetul doamnei doctor Mihăeș am fost tratata cu aparatura de ultima generatie dar si cu multa finete si empatiePublicat pe Andreea MarinTrustindex verifică că sursa originală a recenziei este Google. Sunt pacienta clinicii de 1 an. De fiecare data foarte multumita. Inclusiv partea de receptie, mereu atente sa anunte daca e un alt loc liber mai devreme 🥰 Le recomand in mod special pe doamna doctor Elena Simion si pe doamna doctor Alexandra Popa❤️Publicat pe Georgiana MalinaTrustindex verifică că sursa originală a recenziei este Google. Am fost extrem de mulțumită de serviciile oferite. Doamna doctor Ene este foarte atentă la detalii și explică totul cu răbdare. Recomand cu toată încrederea.Publicat pe Andreea NeculaTrustindex verifică că sursa originală a recenziei este Google. Foarte multumita. Sunt pacienta lor de 1 an si mereu am plecat multumita. Recomand in mod special pe doamnele doctor Alexandra si Elena ❤️Publicat pe Malina FiloteTrustindex verifică că sursa originală a recenziei este Google. Astazi am mers pentru prima data la medicul stomatolog!!! Vreau sa spun ca in cadrul acestei clinici am avut parte de o experiență deosebita, dna doctor Simion Elena m-a tratat cu calm, blândețe și profesionalism! Voi continua tratamentul cu dumneai in cadrul acestei clinici cu toată încrederea! Va recomand cu drag! Profesionalismul, curatenia si atmosfera sunt la alt nivel! 🙏🏻Publicat pe Marina Ciupitu
Tehnologie digitală pentru tratamente endodontice de precizie
Planificare digitală 3D și ghid chirurgical
Permite vizualizarea detaliată a canalelor dentare și tratarea completă a celor mai fine ramificații. Fără complicații, fără infecții ascunse.
Sistem rotativ endodontic cu control electronic
Instrumentele mecanice moderne curăță perfect canalul radicular și scurtează durata tratamentului.
Localizator apical digital
Măsoară cu precizie lungimea canalului, evitând erorile și asigurând o obturație completă până la vârf.
Irigare activă ultrasonică și laser
Curățăm și dezinfectăm în profunzime cu soluții activate ultrasonic și laser pentru o sterilizare completă a canalelor.

Beneficiile tehnologiei moderne în endodonție:
- Tratament complet nedureros
- Microscop endodontic pentru precizie maximă
- Tratamente finalizate rapid, uneori într-o singură ședință
- Prevenirea recidivelor și a infecțiilor secundare
Echipa
Faceți cunoștință cu medicii noștri
Suntem o clinică dentară din Sector 4 în care fiecare pacient este tratat cu empatie, răbdare și profesionalism. Fie că vii la o simplă consultație sau pentru un plan de tratament complet, medicii noștri îți vor fi alături în fiecare etapă.

Dr. Oana Mihăeș
Medic specialist parodontologie, coordonator și fondator al clinicii Dinfinity

Dr. Alexandru Davidoiu
Medic specialist chirurgie dento-alveolară și rezident chirurgie stomatologică și
maxilo-facială

Dr. Iulia Cucuteanu
Medic specialist ortodonție și ortopedie dento-facială

Dr. Liviu Ene
Medic specialist protetică și parodontologie

Dr. Ene Ana
Medic specialist pedodonție

Dr. Alexandra Popa
Medic specialist parodontologie și estetică dentară

Dr. Elena Simion
Medic specialist endodonție

Ana Vale
Asistent medical generalist

Dr. Alexandra Stroescu
Medic specialist protetică dentară

Andreea Roșu
Asistent medical generalist

Maria Drăghici
Asistent medic generalist

Echipa medicală Dinfinity – medici stomatologi în Sector 4
La Clinica Stomatologică Dinfinity din Sector 4, punem accent pe calitate, empatie și profesionalism. Echipa noastră este formată din medici stomatologi specializați, fiecare având expertiză într-un domeniu-cheie al stomatologiei moderne: estetică dentară, implantologie, ortodonție, pedodonție, chirurgie orală sau endodonție.
Fiecare membru al echipei contribuie cu experiență practică, empatie și dorința constantă de perfecționare. Astfel, pacienții noștri beneficiază de tratamente stomatologice avansate și personalizate, într-un mediu sigur și relaxant. Indiferent dacă vii pentru o igienizare, un aparat dentar sau un implant, aici găsești profesioniști dedicați zâmbetului tău.
Suntem o clinică dentară de top în Sector 4 București, apreciată pentru echipa sa multidisciplinară și abordarea completă a sănătății orale.
La Dinfinity, credem că un zâmbet frumos începe cu o echipă în care poți avea încredere.
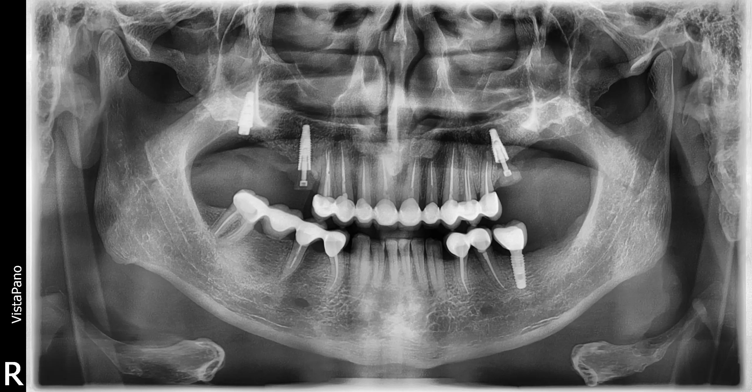
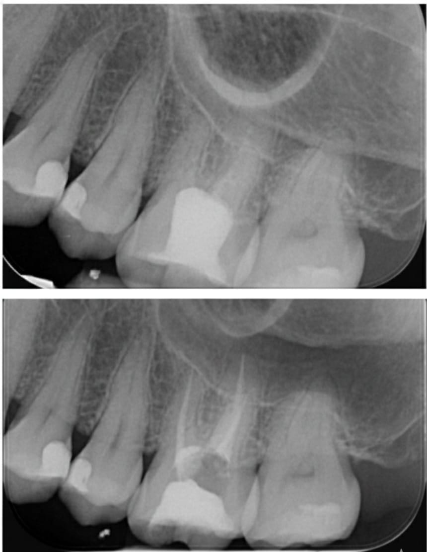
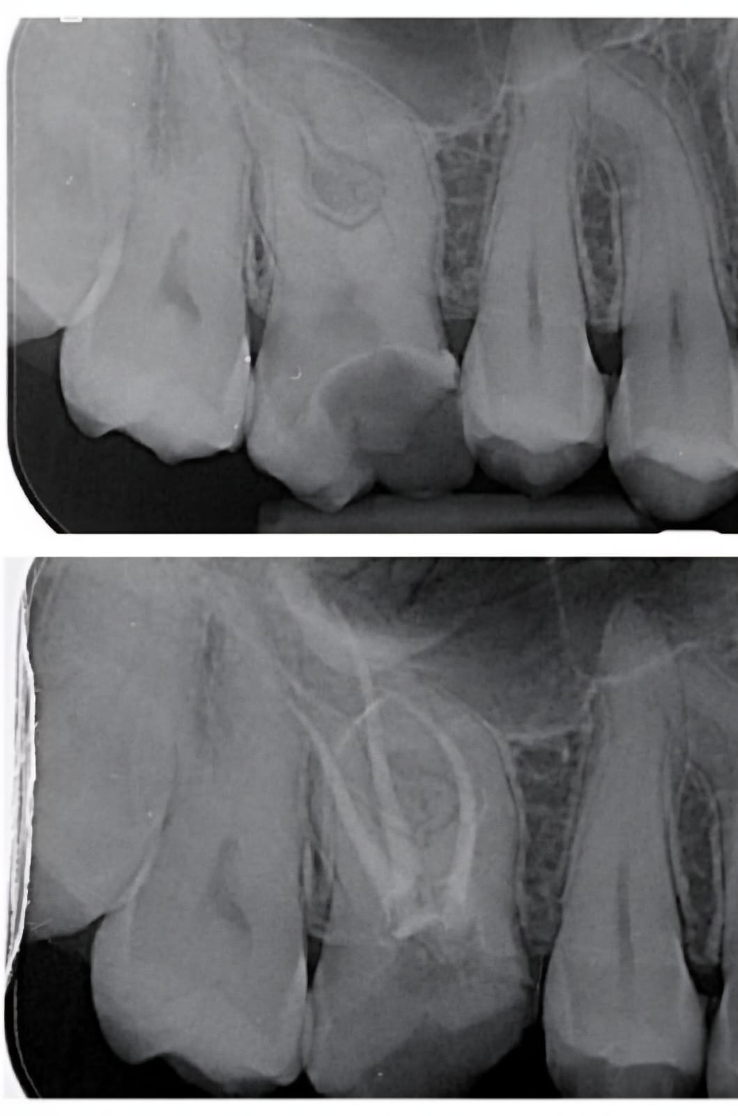
Cum decurge un tratament endodontic la Dinfinity
La Clinica Dinfinity din Sector 4, tratamentele de canal se desfășoară cu precizie digitală și într-un mediu steril controlat. Scopul nostru este să salvăm dintele natural și să te scăpăm de durere definitiv.
-
Consultația și radiografia digitală
Se realizează o radiografie pentru a evalua structura dintelui și extinderea infecției. Stabilim planul exact de tratament.
-
Anestezia și izolarea dintelui
Se aplică anestezie locală complet nedureroasă și se izolează dintele cu digă de cauciuc pentru un câmp steril.
-
Curățarea canalelor sub microscop
Cu instrumente rotative și soluții antiseptice activate ultrasonic, se curăță toate canalele până la vârf.
-
Obturarea etanșă a canalelor
Canalele sunt sigilate complet, pentru a preveni reinfectarea.
-
Reconstrucția dintelui
După tratament, dintele este restaurat cu o coroană sau obturație estetică, pentru funcționalitate și aspect natural.
Întrebări frecvente despre tratamentele endodontice
Mulți pacienți asociază tratamentul de canal cu durerea, dar realitatea este complet diferită. Mai jos găsești răspunsuri clare oferite de echipa Dinfinity din Sector 4.
Tratamentele de canal dor?
Nu. Se efectuează sub anestezie locală, complet nedureroasă. După tratament, disconfortul este minim și trece în 1–2 zile.
Cât durează un tratament endodontic?
În general, între 45 și 90 de minute. În cazurile simple, se finalizează într-o singură ședință.
De ce este necesar microscopul endodontic?
Pentru că oferă vizibilitate totală și permite curățarea completă a canalelor fine, reducând riscul de eșec sau recidivă.
Ce se întâmplă dacă nu tratez dintele la timp?
Infecția se poate extinde, afectând osul și ducând la pierderea dintelui sau chiar la complicații generale (abcese, inflamații).
Ce se întâmplă după tratament?
După tratament, dintele este restaurat pentru a-și recăpăta forma și funcția. Cu îngrijire corectă, poate dura toată viața.
Cât costă un tratament endodontic în Sector 4?
Prețul variază în funcție de complexitate (număr de canale, retratament etc.). După consultație, primești un plan transparent, cu opțiuni de plată flexibile.
Hai să vorbim despre zâmbetul tău
Fie că ai o întrebare, vrei o consultație sau ai nevoie de un plan de tratament personalizat, suntem aici pentru tine. Scrie-ne, sună-ne sau vino direct în clinică. La Dinfinity, comunicarea e la fel de importantă ca tratamentul.
- Răspuns rapid în aceeași zi
- Consultații personalizate, fără grabă
- Locație ușor accesibilă în Sector 4
- Echipă prietenoasă și empatică, care te ascultă