- Zâmbet complet, stabil și natural
Dantură fixă pe implanturi în Sector 4 - soluția modernă pentru un zâmbet permanent
La Clinica Stomatologică Dinfinity, redăm zâmbetul și încrederea pacienților prin tratamente moderne de dantură fixă pe implanturi, cunoscute și sub numele de All-on-4 sau All-on-6.
Fie că ai pierdut toți dinții sau porți o proteză mobilă instabilă, poți avea din nou o dantură fixă, estetică și confortabilă, în doar câteva zile.
Programează-te la o consultație și descoperă soluțiile personalizate Dinfinity pentru un zâmbet stabil, frumos și durabil.


Soluția completă pentru înlocuirea tuturor dinților – All-on-4 și All-on-6
Sistemele All-on-4 și All-on-6 reprezintă cea mai modernă metodă de reabilitare completă a danturii. Cu ajutorul a 4 sau 6 implanturi dentare, poți avea o lucrare fixă, care arată și funcționează ca dinții naturali.
La Dinfinity, fiecare tratament este planificat digital, realizat fără durere și adaptat perfect structurii osoase a pacientului.
Fără durere, fără disconfort
Procedura se face sub anestezie locală modernă, complet nedureroasă. Folosim ghidaj digital și instrumentar chirurgical de precizie, pentru o experiență sigură și confortabilă.
Dantură fixă imediat după intervenție
În cele mai multe cazuri, poți pleca în aceeași zi cu o lucrare provizorie fixă, estetică și funcțională. Zâmbești din nou fără perioade lungi de așteptare.
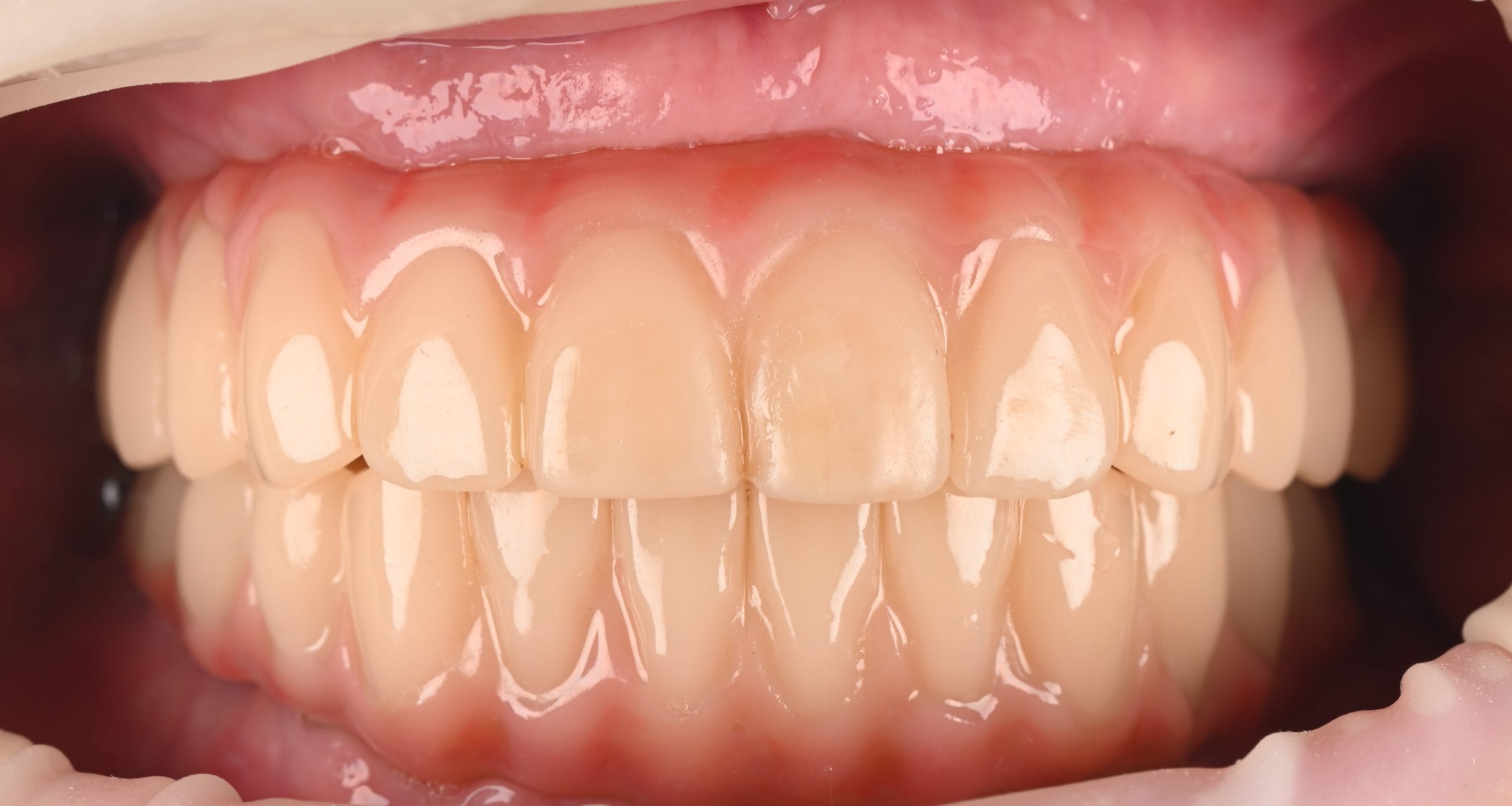
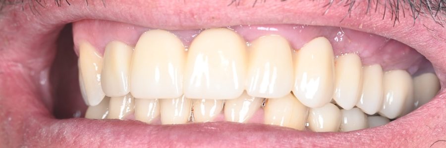
Rezultate stabile și estetice, pe termen lung
Lucrarea finală este realizată individual, în funcție de forma feței și de zâmbet, cu materiale biocompatibile și aspect natural.
Cazuri reale. Povești reale. Zâmbete recâștigate cu ajutorul lucrărilor pe implanturi.
Fiecare pacient care ne trece pragul are o poveste. În această secțiune, descoperi experiențele celor care au ales tratamentele cu implanturi All-on-4, All-on-6 sau implanturi integrate in dentiția naturala. Vezi rezultatele obținute, citește părerile lor sincere și lasă-te inspirat de zâmbetele care au prins din nou curaj.
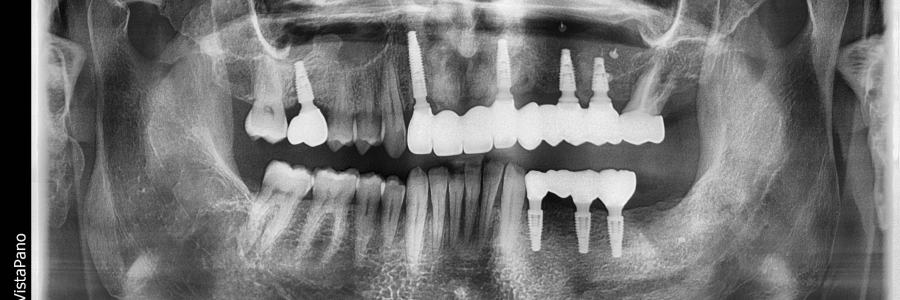
Redarea funcției masticatorii și estetice prin restaurări complexe cu ajutorul coroanelor pe implanturi tip FP1, cu aspect natural si sănătos al gingiei.
Boală parodontală tratată cu menținerea unor dinți și înlocuirea celor irecuperabili cu implanturi.
Pierderea dinților cu deficit osos considerabil, rezolvat prin tratament multidisciplinar, intervenții chirurgicale de adiție osoasă, implanturi dentare, grefe gingivale, tratament ortodontic si protetic pentru redarea zâmbetului si a funcției masticatorii
Trustindex verifică că sursa originală a recenziei este Google. Recomand dr Alexandru Davidoiu! A avut răbdare să îi explice fiului meu (18ani) tot ce urma să se întâmple (extragerea a trei molari de minte inclusi)i-a răspuns la toate întrebările. S-a stabilit o legătură foarte ok intre pacient si doctor,venind cu încredere de fiecare dată.Mulțumim întregii echipe pentru profesionalismul de care a dat dovadă!Publicat pe ADMIN BARCUTETrustindex verifică că sursa originală a recenziei este Google. Am avut o experiență foarte bună cu doamna Doctor Oana Mihăeș. Toate procedurile au decurs fără probleme și rezultatul este excelent. Sunt foarte mulțumit și recomand cu încredere!Publicat pe Vasile CristianTrustindex verifică că sursa originală a recenziei este Google. In cabinetul doamnei doctor Mihăeș am fost tratata cu aparatura de ultima generatie dar si cu multa finete si empatiePublicat pe Andreea MarinTrustindex verifică că sursa originală a recenziei este Google. Sunt pacienta clinicii de 1 an. De fiecare data foarte multumita. Inclusiv partea de receptie, mereu atente sa anunte daca e un alt loc liber mai devreme 🥰 Le recomand in mod special pe doamna doctor Elena Simion si pe doamna doctor Alexandra Popa❤️Publicat pe Georgiana MalinaTrustindex verifică că sursa originală a recenziei este Google. Am fost extrem de mulțumită de serviciile oferite. Doamna doctor Ene este foarte atentă la detalii și explică totul cu răbdare. Recomand cu toată încrederea.Publicat pe Andreea NeculaTrustindex verifică că sursa originală a recenziei este Google. Foarte multumita. Sunt pacienta lor de 1 an si mereu am plecat multumita. Recomand in mod special pe doamnele doctor Alexandra si Elena ❤️Publicat pe Malina FiloteTrustindex verifică că sursa originală a recenziei este Google. Astazi am mers pentru prima data la medicul stomatolog!!! Vreau sa spun ca in cadrul acestei clinici am avut parte de o experiență deosebita, dna doctor Simion Elena m-a tratat cu calm, blândețe și profesionalism! Voi continua tratamentul cu dumneai in cadrul acestei clinici cu toată încrederea! Va recomand cu drag! Profesionalismul, curatenia si atmosfera sunt la alt nivel! 🙏🏻Publicat pe Marina Ciupitu
Tehnologie digitală completă pentru tratamente All-on-4 și All-on-6
Planificare digitală 3D și ghid chirurgical
Cu ajutorul investigației CBCT și scanării intraorale, simulăm poziția exactă a implanturilor înainte de intervenție. Astfel, inserarea este precisă și predictibilă.
Scanner intraoral Medit i700
Amprentare digitală rapidă și fără disconfort – obținem o imagine detaliată a cavității orale, fără pasta clasică de amprentă.
Fiziodispenser chirurgical Kavo Expert Surg Lux
Permite inserarea implanturilor cu control total asupra vitezei, adâncimii și stabilității. Rezultatul: intervenție sigură și vindecare rapidă.
Terapie laser pentru vindecare accelerată
Laserul Doctor Smile reduce inflamația, stimulează regenerarea și scurtează perioada de recuperare.

Beneficiile tehnologiei moderne în tratamentele de dantură fixă:
- Planificare digitală 3D completă
- Inserare precisă cu ghid chirurgical
- Lucrare fixă imediat după intervenție în anumite cazuri
- Vindecare rapidă și confort sporit
Echipa
Faceți cunoștință cu medicii noștri
Suntem o clinică dentară din Sector 4 în care fiecare pacient este tratat cu empatie, răbdare și profesionalism. Fie că vii la o simplă consultație sau pentru un plan de tratament complet, medicii noștri îți vor fi alături în fiecare etapă.

Dr. Oana Mihăeș
Medic specialist parodontologie, coordonator și fondator al clinicii Dinfinity

Dr. Alexandru Davidoiu
Medic specialist chirurgie dento-alveolară și rezident chirurgie stomatologică și
maxilo-facială

Dr. Iulia Cucuteanu
Medic specialist ortodonție și ortopedie dento-facială

Dr. Liviu Ene
Medic specialist protetică și parodontologie

Dr. Ene Ana
Medic specialist pedodonție

Dr. Alexandra Popa
Medic specialist parodontologie și estetică dentară

Dr. Elena Simion
Medic specialist endodonție

Ana Vale
Asistent medical generalist

Dr. Alexandra Stroescu
Medic specialist protetică dentară

Andreea Roșu
Asistent medical generalist

Maria Drăghici
Asistent medic generalist

Echipa medicală Dinfinity – medici stomatologi în Sector 4
La Clinica Stomatologică Dinfinity din Sector 4, punem accent pe calitate, empatie și profesionalism. Echipa noastră este formată din medici stomatologi specializați, fiecare având expertiză într-un domeniu-cheie al stomatologiei moderne: estetică dentară, implantologie, ortodonție, pedodonție, chirurgie orală sau endodonție.
Fiecare membru al echipei contribuie cu experiență practică, empatie și dorința constantă de perfecționare. Astfel, pacienții noștri beneficiază de tratamente stomatologice avansate și personalizate, într-un mediu sigur și relaxant. Indiferent dacă vii pentru o igienizare, un aparat dentar sau un implant, aici găsești profesioniști dedicați zâmbetului tău.
Suntem o clinică dentară de top în Sector 4 București, apreciată pentru echipa sa multidisciplinară și abordarea completă a sănătății orale.
La Dinfinity, credem că un zâmbet frumos începe cu o echipă în care poți avea încredere.
Cum decurge tratamentul cu implant dentar
La Clinica Dinfinity din Sector 4, tratamentele All-on-4 și All-on-6 sunt realizate după un protocol clar, eficient și complet nedureros.
-
Consultația și evaluarea medicală
Realizăm o radiografie panoramică și scanare digitală 3D pentru a evalua volumul osos și a stabili dacă All-on-4 sau All-on-6 este soluția ideală pentru tine.
-
Planificare digitală a intervenției
Folosim analiza CBCT și scanarea intraorală pentru a vizualiza structura osoasă și a planifica poziția precisă a implantului. În acest scop, utilizam ghidurile chirurgicale in timpul celor mai multe intervenții.
-
Inserarea implanturilor dentare
Sub anestezie locală, medicul chirurg inserează implantul dentar cu ajutorul unui fiziodispenser de mare precizie. Procedura este rapidă, nedureroasă, iar recuperarea este bine pusă la punct prin protocoale de analgezie. Totodată, analizam si calitatea țesuturilor moi si unde este necesar, realizam si grefe gingivale.
-
Montarea lucrării provizorii fixe
În aceeași zi sau la scurt timp după intervenție, se montează lucrarea provizorie – zâmbești din nou imediat.
-
Lucrarea finală definitivă
După perioada de osteointegrare (3–6 luni), se montează lucrarea definitivă, realizată individual, cu estetică naturală și durabilitate ridicată.
Întrebări frecvente despre dantura fixă pe implanturi
Tratamentele de tip All-on-4 și All-on-6 pot schimba radical viața pacienților. Mai jos răspundem celor mai frecvente întrebări primite la Clinica Dinfinity din Sector 4.
Ce diferență este între All-on-4 și All-on-6?
Ambele oferă dantură fixă completă. All-on-4 folosește 4 implanturi, iar All-on-6, 6 implanturi, pentru o stabilitate mai mare în cazurile cu os suficient.
Intervenția este dureroasă?
Nu. Se face sub anestezie locală modernă, complet nedureroasă. Recuperarea este rapidă, cu disconfort minim.
Ce se întâmplă dacă nu am suficient os pentru implant?
Mare parte dintre cazuri necesită și o augmentare osoasă pentru crearea condițiilor adecvate plasării și menținerii pe termen lung a implanturilor. In urma analizei CBCT-ului, se va oferi soluția potrivită.
Implantul dentar este permanent?
Implantul este o soluție pe termen lung – poate dura 15–20 de ani sau chiar toată viața dacă este întreținut corect. Studiile spun ca rata de supraviețuire a implanturilor pe o durată de 10 ani este 92,8%. Coroana de deasupra poate avea nevoie de înlocuire după 10–15 ani, în funcție de uzură.
Pot avea dantură fixă chiar dacă am pierdut mult os?
Da. În multe cazuri se pot folosi implanturi speciale (zigomatice sau pterigoidiene) care elimină nevoia de adiție osoasă.
Cât durează tratamentul complet?
Implanturile se inserează într-o singură ședință, iar lucrarea provizorie se montează în aceeași zi sau în 24–48 ore. Lucrarea definitivă se finalizează după 3–6 luni.
Cât costă o dantură fixă pe implanturi?
Prețul depinde de numărul implanturilor, tipul lucrării și materialele alese. La Dinfinity, vei primi un plan detaliat și transparent după consultație, cu opțiuni de plată în rate.
Dantura fixă arată natural?
Da. Lucrarea finală este realizată personalizat pentru fiecare pacient, cu materiale ceramice sau compozite care reproduc perfect aspectul natural al dinților.
Pot mânca normal după tratament?
Da, în majoritatea cazurilor poți consuma alimente moi chiar din primele zile. După vindecare completă, vei putea mânca absolut normal.
Hai să vorbim despre zâmbetul tău
Fie că ai o întrebare, vrei o consultație sau ai nevoie de un plan de tratament personalizat, suntem aici pentru tine. Scrie-ne, sună-ne sau vino direct în clinică. La Dinfinity, comunicarea e la fel de importantă ca tratamentul.
- Răspuns rapid în aceeași zi
- Consultații personalizate, fără grabă
- Locație ușor accesibilă în Sector 4
- Echipă prietenoasă și empatică, care te ascultă